Mordida colapsada: qué es y cómo se corrige
La mordida colapsada es una condición dental que ocurre cuando se pierde la altura normal de la mordida debido al desgaste excesivo de los dientes, la pérdida de piezas dentales…
La mordida colapsada es una condición dental que ocurre cuando se pierde la altura normal de la mordida debido al desgaste excesivo de los dientes, la pérdida de piezas dentales…
El bruxismo crónico es una condición en la que una persona aprieta o rechina los dientes de forma involuntaria, generalmente durante el sueño, aunque también puede ocurrir durante el día.…
La rehabilitación oral completa no solo tiene como objetivo restaurar dientes dañados o reemplazar piezas perdidas. También puede generar cambios importantes en la apariencia del rostro. Esto ocurre porque los…
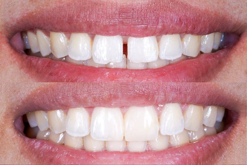
La odontología moderna ha evolucionado hacia tratamientos cada vez más conservadores. En lugar de intervenir de forma agresiva sobre los dientes, el objetivo actual es preservar la mayor cantidad posible…
Muchas personas desean mejorar su sonrisa pero sienten temor de que los tratamientos estéticos impliquen desgastar o dañar dientes sanos. La buena noticia es que la odontología moderna ofrece múltiples…
En muchos casos, lograr una sonrisa funcional y estética requiere más que un solo tratamiento. Por eso, la odontología moderna utiliza enfoques interdisciplinarios que combinan distintas especialidades para resolver problemas…
Durante muchos años se creyó que los tratamientos de ortodoncia estaban destinados únicamente a adolescentes y jóvenes. Sin embargo, hoy en día cada vez más adultos mayores deciden corregir la…
Muchas personas comienzan un tratamiento de ortodoncia buscando mejorar la alineación de sus dientes, pero se sorprenden al notar cambios positivos en la armonía de su rostro. Esto ocurre porque…
La expansión maxilar es un tratamiento utilizado en ortodoncia para aumentar el ancho del maxilar superior cuando existe falta de espacio para los dientes o una mordida cruzada. Tradicionalmente, este…
Los alineadores invisibles se han convertido en una de las opciones más populares para corregir la posición de los dientes. Su estética discreta, comodidad y facilidad para retirarlos al comer…