En este momento estás viendo Rehabilitación oral integral: qué es y cuándo se recomienda

Rehabilitación oral integral: qué es y cuándo se recomienda

  • Autor de la entrada:
  • Entrada publicada:29 septiembre, 2025
  • Categoría de la entrada:Rehabilitación
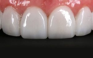
La rehabilitación oral integral es un enfoque completo de la odontología que busca devolver al paciente la función, la salud y la estética de su boca. A diferencia de tratamientos puntuales como una carilla o una corona aislada, este tipo de intervención se planifica de manera global, considerando la mordida, la salud periodontal, la armonía estética y el bienestar general del paciente.

¿En qué consiste la rehabilitación oral integral?

Este procedimiento combina distintas disciplinas odontológicas como prótesis, implantología, ortodoncia, periodoncia y estética dental. El objetivo es crear una solución personalizada que no solo atienda los problemas visibles, sino también las causas que los originan. Por ejemplo, en un paciente con desgaste dental severo por bruxismo, no basta con colocar coronas: es necesario proteger los nuevos dientes con férulas y corregir la mordida para evitar recaídas. Para lograrlo, el dentista realiza una planificación detallada que incluye estudios radiográficos, fotografías, modelos digitales y análisis de la oclusión. Todo esto permite definir la secuencia de tratamientos y establecer el resultado final esperado en cuanto a color, forma y función.

¿Cuándo se recomienda este tratamiento?

La rehabilitación oral integral no está destinada únicamente a casos extremos. Es frecuente en pacientes con desgaste avanzado, pérdida de dientes o alteraciones estéticas complejas, pero también se recomienda en quienes presentan múltiples necesidades dentales y buscan un abordaje coordinado en lugar de procedimientos aislados. Algunas situaciones en las que puede estar indicada son:

  • Pérdida de varias piezas dentales que afectan la función masticatoria.
  • Desgaste severo por bruxismo, erosión ácida o traumatismos.
  • Desequilibrios en la mordida que generan dolores musculares o articulares.

Beneficios de la rehabilitación oral integral

Una de las principales ventajas de este tratamiento es que permite obtener un resultado armónico y duradero, tanto en lo estético como en lo funcional. Un paciente que se somete a este tipo de rehabilitación puede recuperar la confianza al sonreír, mejorar su capacidad de masticar y hablar, y prevenir futuros problemas de desgaste o fracturas. Al tratar la boca de forma global, también se fomenta una mejor higiene y se reduce el riesgo de enfermedades periodontales. Entre los beneficios más destacados se encuentran:

  • Recuperación de la función masticatoria y mejora en la digestión.
  • Mayor estabilidad y durabilidad de las restauraciones.
  • Un resultado estético más natural y equilibrado con el rostro.

El papel del paciente en el éxito del tratamiento

Si bien la planificación y ejecución del odontólogo son determinantes, el compromiso del paciente también juega un papel clave. Mantener una higiene oral adecuada, acudir a controles periódicos y seguir indicaciones específicas —como el uso de férulas en casos de bruxismo— es fundamental para garantizar que los resultados se conserven a lo largo del tiempo.

Conclusión

La rehabilitación oral integral es una solución ideal para quienes necesitan recuperar la función y la estética de su sonrisa de manera completa. Más allá de resolver problemas puntuales, este enfoque busca devolver al paciente una boca saludable, armónica y protegida frente a futuros desgastes o fracturas. Consultar con un odontólogo especializado es el primer paso para evaluar si este tratamiento es el adecuado y planificar un resultado duradero y satisfactorio.

Links de interés: